 |
How much do braces cost?
At Sarraf Orthodontics we strive to provide quality orthodontic care at the most affordable rates possible. We accept all insurance plans and will file your claims. We also offer payment plans with no money down and no interest options. A 10% administrative discount is applied if the balance is paid in full at the start of treatment.
Each patient will have an individualized treatment plan thus a free consultation must be done to determine the fee. After the consultation you will be presented with fee for all treatment and diagnostic services.
Below are average treatment fees at Sarraf Orthodontics for non insurance patients.
-
Express Invisalign Treatment
-
Invisalign treatment requiring 10 aligners or less (approximately 4 - 5 months). This includes initial and final records and one pair of retainers. Pre-treatment cases qualifying for this express treatment are shown below.
-
Normally $4500. Now only $3600.
- $3240 if paid in full at the start of treatment.
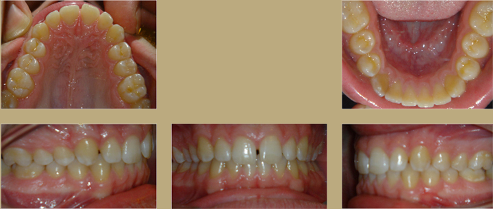
Pre-Treatment Express Invisalign Example 1

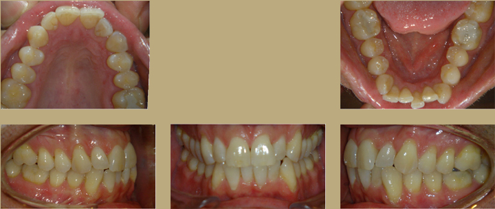
Pre-Treatment Express Invisalign Example 2
-
Comprehensive Invisalign Treatment
-
Invisalign treatment requiring 12 - 24 months of treatment. This includes initial and final records and one pair of retainers. Pre-treatment cases qualifying Invisalign treatment are shown below.
-
Normally $7500 - $6500. Now only $5625 - $4875.
-
$5062 - $4387 if paid in full at the start of treatment.
Pre-Treatment Comprehensive Invisalign Example 1

Pre-Treatment Comprehensive Invisalign Example 2

-
Traditional Metal Braces
-
Depending on the severity of the bite and tooth misalignment, treatment fees range from $1500 to $4300. Our treatment fees include initial and final records and one pair of retainers.
-
We are preferred providers for most dental insurances including Delta, Aetna, Cigna, Safeguard and a host of other insurances.
-
A 10% administrative discount is applied if the balance is paid in full at the start of treatment.
- We also offer esthetic (invisible) braces made from porcelain or crystal which are much less noticeable than traditional metal braces as shown below.
|